Smile Gallery
From general, cosmetic and restorative treatments to implant dentistry, our dentist and team are here to help you bring out the best in your smile. Spend some time in our gallery to see examples of our dental work in Hollywood, California. If you are ready to get started on a lifetime of healthy, beautiful smiles, call HD Smile Modern Dentistry at 323-464-2033. One of our team members can help you plan your appointment with Dr. Heba Zied.
Check back soon for our gallery!
Smile Gallery
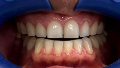
Before
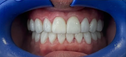
After
Before
After
Visit Our Office
Office Hours
- Monday9:00 am - 6:00 pm
- Tuesday9:00 am - 6:00 pm
- Wednesday9:00 am - 6:00 pm
- Thursday9:00 am - 6:00 pm
- Friday9:00 am - 6:00 pm
- SaturdayClosed
- SundayClosed
WELCOME




